Welcome to Smile Craft Studio
Dentures should never feel like a compromise.
Traditional denture techniques rely on impressions, guesswork, and multiple manual stages. At Smilecraft Studio, we replace this with precision digital workflows, allowing your denture to be designed, refined, and perfected before it’s made.
The result is a denture that feels more stable, looks more natural, and restores confidence sooner.
What Are Digital Dentures?
Digital dentures are created using high-resolution 3D scans of your mouth, rather than traditional moulds and wax models.
Your denture is:
- Designed digitally with millimetre accuracy
- Custom-built to your anatomy, bite, and facial aesthetics
- Digitally stored for easy replacement or adjustment
Every denture is made specifically for you, not from a generic template.
Digital Scanning – Comfortable & Accurate
We use advanced intraoral scanning technology to capture a precise 3D image of your mouth.
Benefits for patients:
-
No messy impression trays
-
Comfortable and quick
-
Exceptional accuracy
-
Ideal for patients who gag or struggle with impressions
The Digital Denture Journey
Step 1
Consultation & Digital Scan
Your journey begins with a relaxed consultation. We discuss your concerns, expectations, and smile goals before digitally scanning your mouth and recording your bite.
Step 2
Digital Denture Design
Your denture is designed using advanced dental software, allowing precise control of:
- Tooth size, shape, and shade
- Bite and jaw relationship
- Facial support and smile line
- Natural gum contour and anatomy
Step 3
Try-In (When Indicated)
For some cases, a 3D printed try-in denture is used so you can:
- See how your denture will look
- Test comfort and bite
- Request cosmetic refinements
Step 4
Final Fit
Your final denture is carefully fitted and refined.
Most patients experience excellent comfort and stability from day one, with minimal adjustment needed.
Free Denture Consultation
We offer a free, no-obligation denture consultation to:
- Assess comfort, fit, and function
- Discuss digital denture options
- Answer all your questions
Types Of Dentures We Provide

Full Dentures

Partial Dentures

Replacement Dentures
(digitally copied from existing dentures)

Implant-Retained Denture Planning
All cases are digitally archived for peace of mind.
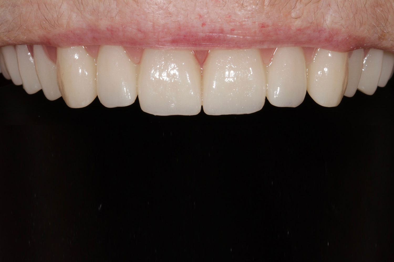
Natural Aesthetics & Confidence
We design for:
- Natural tooth proportions
- Age-appropriate smile design
- Realistic gum contours and colour
- Balanced facial and lip support
Digital Vs Traditional Dentures
| Digital Dentures | Traditional Dentures |
| No messy impressions | Impression trays required |
| Greater precision | Manual guesswork |
| Fewer appointments | Multiple visits |
| Digitally stored designs | No digital record |
| Predictable fit | Variable results |
Why Choose
✔ Private Dentistry Awards 2025 Winner – Clinical Dental Technician
✔ expert CDT delivering fully digital dentures
✔ Advanced scanning + digital design for predictable fit
✔ Fewer visits, more comfort, natural aesthetics
✔ Your denture is digitally stored for easy replacement
This is denture care delivered with craftsmanship, technology, and attention to detail.
